MENU
INICIO
SERVICIOS
CURRÍCULUM
EQUIPO MÉDICO
INSTALACIONES
CASOS DE ÉXITO
CONTACTO
CHECK UP
ANTICONCEPCIÓN
MANEJO DE PATOLOGÍAS GINECOLÓGICAS
Dolor Menstrual
Quistes de Ovario
Pólipos Endometriales
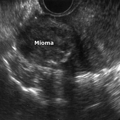
Miomas uterinos
Síndrome de Ovario Poliquísticos
Endometriosis