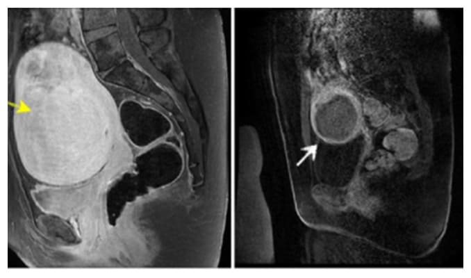
Miomas uterinos.

Los fibromas uterinos son tumores benignos del útero que a menudo aparecen durante los años fértiles. También llamados leiomiomas o miomas, los miomas uterinos no están asociados con un mayor riesgo de cáncer uterino y casi nunca se convierten en cáncer.

Hasta un 40% de las de edad fértil entre 30 y 40 años tienen miomas uterinos. Se calcula que hasta un 70% lo desarrollaran en algún momento de su vida. Sin embargo, es posible que no sepas que tienes miomas uterinos porque a menudo no causan síntomas.

Síntomas.

•Sangrado menstrual abundante que puede llegar a condicionar anemia.
•Períodos menstruales que duran más de una semana.
•Presión o dolor pélvico.
•Necesidad de orinar a menudo.
•Dificultad para vaciar la vejiga.
•Estreñimiento.
•Dolor de espalda o de piernas.

Diagnóstico.

Una de las principales herramientas con las que contamos los ginecologos hoy en dia para detectar los miomas, además del historial de hemorragia menstrual y de dolor, que algunas pacientes pueden presentar, esta el ultrasonido que de rutina se realiza en el consultorio, ya que muchas veces los miomas son asintomáticos.

También se pueden usar estudios como la tomografía o la resonancia sin embargo el ultrasonido tiene una efectividad diagnostica en médicos con experiencia cerca del 100%.

Causas:

Actualmente aun se desconoce el origen o causa de los miomas, sin embargo los estudios actuales, nos orientan a pensar ciertas teorías: •Cambios genéticos. Muchos miomas contienen cambios en los genes que difieren de los de las células normales del músculo uterino. •Hormonas. El estrógeno y la progesterona, dos hormonas que estimulan el desarrollo del revestimiento uterino durante cada ciclo menstrual como una preparación para el embarazo, parecen estimular el crecimiento de algunos miomas.Los miomas que contienen receptores de receptores de estrógeno y progesterona en general tiene más receptores que las células musculares uterinas normales y tienden a disminuir de tamaño después de la menopausia debido a que la producción de hormonas disminuye. •Otros factores de crecimiento. Las sustancias que ayudan al cuerpo a mantener los tejidos, como el factor de crecimiento similar a la insulina, pueden afectar el crecimiento de los fibromas. •Matriz extracelular. La matriz extracelular es el material que hace que las células se peguen, como el mortero entre ladrillos. La matriz extracelular aumenta en los fibromas y los hace fibrosos. La matriz extracelular también almacena los factores de crecimiento y causa cambios biológicos en las propias células.

Tratamiento.

Hoy en día existen medicamentos que han demostrado disminuir hasta un 40% del tamaño del tamaño de los miomas, sin embargo no los eliminan, al suspender el tratamiento los miomas retornan a sus dimensiones normales.

Esta opción en general se utiliza cuando los miomas son demasiado grandes que pueden poner en riesgo a la paciente durante un procedimiento quirúrgico, por lo que al usarlos y disminuir el tamaño facilita y disminuye riesgos.

La miomectomia es el procedimiento quirúrgico que consiste en extirpar únicamente los miomas, tratando de conservar el útero en las mejores condiciones en especial en pacientes que desean tener la posibilidad de ser mamas.

La histerectomía (extracción del útero completo) es el tratamiento definitivo para esta patología.

Dolor Menstrual

Quistes de Ovario

Pólipos Endometriales

Miomas uterinos

Síndrome de Ovario Poliquísticos

Endometriosis