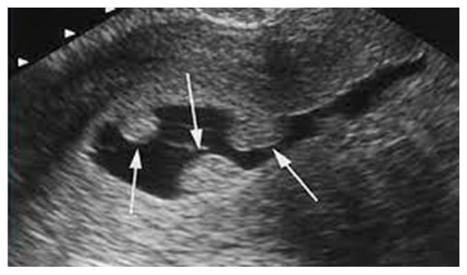
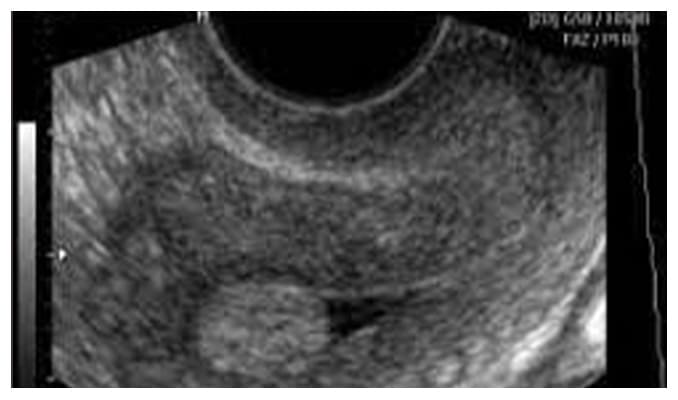
Pólipos Endometriales.

Son tumores sólidos blandos, que se desarrollan en la capa interna del útero (endometrio).

El crecimiento excesivo de las células en el revestimiento del útero (endometrio) produce la formación de pólipos uterinos, también conocidos como "pólipos endometriales". Estos pólipos no suelen ser malignos en su mayoría, aunque algunos sí pueden serlo o, con el tiempo, pueden malignizarse (pólipos precancerosos).

Síntomas.

•Sangrado menstrual irregular, por ejemplo, tener períodos frecuentes e impredecibles de duración e intensidad variables.
•Sangrado entre períodos menstruales.
•Períodos menstruales excesivamente abundantes.
•Sangrado vaginal después de la menopausia.
Infertilidad.

Cuando consultar al médico.

•Sangrado vaginal después de la menopausia.
•Sangrado entre períodos menstruales.
•Sangrado menstrual irregular.

Complicaciones.

Los pólipos uterinos dependiendo del tamaño pueden causar ademas de las irregularidades menstruales antes comentadas, infertilidad. Si tienes pólipos uterinos y no puedes tener hijos, la extracción de los pólipos podría permitirte quedar embarazada.

El tratamiento es por histeroscopia ( una cirugía ambulatoria donde se introduce una cámara dentro del útero para extraer el pólipo)

Dolor Menstrual

Quistes de Ovario

Pólipos Endometriales

Miomas uterinos

Síndrome de Ovario Poliquísticos

Endometriosis