Síndrome de Ovario Poliquístico.

Esta es la endocrinopatía más común en la mujer, se calcula afecta hasta un 15% de la población femenina en edad reproductiva. es un problema crónico, no tiene cura, pero con una adecuada monitorio y corrección de las alteraciones presentadas se puede llevar una vida normal.



Este trastorno esta caracterizado por:

Irregularidades menstruales o ausencia de la menstruación.
Sobrepeso u obesidad.
Acné, hirsutismo (aumento de vello grueso en lugares donde solo lo tiene los varones) caída del cabello.
Acantosis nigricans ( coloración obscura de las axilas, ingles y cuello por alteración de la insulina).
Aumento de los andrógenos (hormonas masculinas) en la sangre.
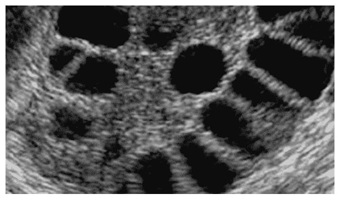
Presencia de múltiples quistes en los ovarios al ultrasonido.

Tratamiento.

El tratamiento esta enfocado en corregir todas las alteraciones que se pueden producir con este síndrome, que como pueden ver son muchos y variados, y dependiendo de estos el riesgo y las complicaciones son diferentes.

El tratamiento dependiendo de la etapa en la que se encuentre la paciente y su deseo reproductivo inmediato puede variar en algunos aspectos.

Cuando no se desea embarazo.

Bajar o evitar subir de peso.
Valorar alteraciones hormonales (andrógenos, insulina) y corregirlas.
Corregir las manifestaciones de los andrógenos, acné, hirsutismo y acantosis.
Regularizar los ciclos en casos donde se presenten irregularidades menstruales o ausencia de la misma.
Manejo interdisciplinario de la depresión o baja autoestima que algunas pacientes presentan.

Buscando el embarazo.

Bajar de peso o control del mismo.
Corregir la insulina y andrógenos.
Inducir la ovulación.
En los casos que se requiere tratamiento de reproducción asistida.

Dolor Menstrual

Quistes de Ovario

Pólipos Endometriales

Miomas uterinos

Síndrome de Ovario Poliquísticos

Endometriosis